Laboratorio dental especializado GARGOM
En nuestro Laboratorio dental especializado, nos enfocamos en la innovación y la tecnología para ofrecer soluciones de calidad y precisión en la creación de prótesis dentales. Contamos con un equipo de profesionales altamente capacitados y equipados con tecnología de última generación para ofrecer servicios de excelencia.
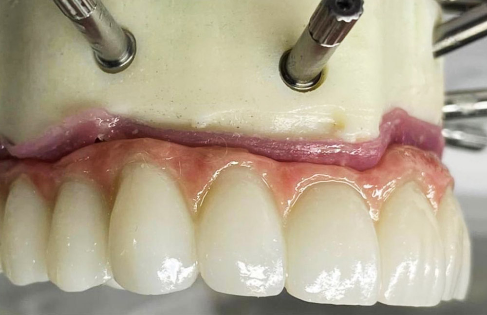
Prótesis de alta calidad
Nos especializamos en procesos digitales CAD/CAM, lo que nos permite diseñar y producir prótesis dentales con mayor precisión y rapidez.
Además, nuestros procesos digitales también nos permiten trabajar con materiales de alta calidad y durabilidad, lo que se traduce en prótesis más resistentes y duraderas.
Confíe en nosotros. Contáctanos.
Somos un laboratorio dental especializado
Confíe en nuestro equipo de profesionales y en nuestra tecnología de última generación para obtener resultados excepcionales en la creación de prótesis dentales. Estamos comprometidos con la calidad y la excelencia en cada uno de nuestros proyectos.


